
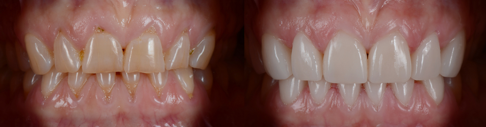
Dacă nu ești nemulțumit de felul în care aspectul dinților tăi îți influențează zâmbetul, tratamentul decorectare a zâmbetului prin fațete dentare ceramice sau fațete din compozit ar putea fi o opțiune bună.
Fațetele pot fi foarte eficiente atunci când vine vorba de corectarea aspectului dinților care sunt strâmbi, fisurați, crăpați, prea distanțați, prea mici, pătați sau foarte îngălbeniți, imposibil de albit.
În funcție de materialul din care sunt realizate, există două tipuri de fațete dentare: din porțelan și compozit. Când sunt făcute bine, ambele tipuri de fațete îți pot oferi un zâmbet frumos, dar care sunt diferențele? De unde știi care este cel mai potrivit pentru tine?
Fațete dentare din compozit
Materialele compozite moderne pot oferi un aspect frumos, realist, nu distrug structura dintelui și pot dura mult timp.
Fațetele compozite constau dintr-un un material care se potrivește cu nuanța naturală a dinților și este aplicat în straturi pe suprafața dinților și modelat direct în gură, pentru a obține aspectul estetic dorit. Fațetele compozite sunt utilizate în situații în care există ciobire sau decolorare a dinților naturali. De asemenea, sunt folosite acolo unde există alinieri minore greșite ale dinților, pentru a da un aspect drept, uniform, dinților.
Fațete dentare ceramice

Fațetele ceramice sunt foarte subțiri, realizate în laborator, pentru a se potrivi în totalitate cu structura dentară rămasă după șlefuire.
Acestea creează un aspect deosebit de natural. Proprietatea ceramicii de a fi translucidă permite fațetelor dentare să imite caracteristicile estetice ale smalțului dentar, oferindu-i un sentiment de adâncime.
Fațetele ceramice sunt folosite pentru a recrea aspectul natural al dinților, oferind în același timp și o rezistență comparabilă cu cea a smalțului natural al dinților.
Fațete dentare compozite versus fațete dentare ceramice

- Fațetele ceramice rezistă la colorarea zilnică datorată fumatului, ceaiului, cafelei, vinului roșu și altor lichide sau condimente puternic colorate, spre deosebire de fațetele compozite care pot decolora și păta în timp. Deși cu materialele compozite moderne, acest neajuns este minim.
- Fațetele ceramice nu pot fi reparate. Dacă se sparge ceramica, fațeta trebuie înlocuită, în timp ce fațeta compozită poate fi reparată de către medicul dentist într-o singură vizită.
- Fațetele ceramice sunt rezistente și pot dura mulți ani, de obicei 10-15 ani, dacă aveți grijă de ele, adoptând o bună conduită de igienă orală. Fațetele compozite vor trebui refăcute sau înlocuite mai frecvent, deoarece materialul compozit folosit nu este la fel de puternic precum ceramica.
- Fațetele ceramice sunt mai scumpe decât fațetele compozite și necesită uneori tehnologii digitale.
- Fațetele ceramice necesită cel puțin două vizite: amprentarea pentru etapa de laborator și probarea fațetelor în cabinet. Fațetele din compozit sunt realizate într-o singură vizită, pe scaun, de către un medic stomatolog.
- Fațetele ceramice necesită îndepărtarea unui strat din suprafața smalțului. Odată ce un dinte a fost pregătit pentru un fațetă, procesul devine ireversibil. Fațetele compozite se lipesc direct de suprafața smalțului dentar, fără prepararea smalțului și, prin urmare, acest tip de fațetare este reversibil.
Orice variantă de fațetare ați alege, beneficiile asupra zâmbetului sunt incomensurabile.
Aflați mai multe despre modul în care fațetele compozite sau ceramice vă pot aduce beneficii programându-vă pentru o consultație în cadrul clinicii Artistic Dent.












