Implantul dentar Straumann Pure Ceramic – prezentare de caz

Pana nu demult, in Romania, singura metoda de tratament implantar era inserarea de implanturi dentare metalice din titan. Deoarece culoarea unui implant dentar clasic din titan este gri, in unele cazuri, acesta nu reuseste sa satisfaca cerintele estetice date de complexitatea cazului sau de nevoile pacientului.
In ultimii ani cerintele estetice sunt din ce in ce mai mari si astfel, dupa 12 ani de cercetare, compania elvetiana Straumann a venit cu o solutie cel putin la fel de buna ca implantul de titan si anume implantul dentar ceramic alb, fara metal, Straumann Pure Ceramic.

Implantul dentar ceramic simuleaza foarte bine culoarea naturala a dintelui. Deoarece este un implant 100% fara metal acesta poate fi inserat in special la pacientii care isi doresc rezultate estetice maxime, la pacientii cu diabet, la cei care nu isi doresc metal in cavitatea bucala sau la pacientii care sufera de anumite alergii la unele metale.
Ceramica zirconica este un material rezistent si a fost folosit de-a lungul anilor in operatii ortopedice, dar si in cazul pacientilor ce sufera de osteoporoza, rata de succes fiind una extrem de ridicata.
Principalul motiv pentru care folosim implantul dentar ceramic Straumann este inlocuirea unui dinte lipsa din fata ,cu multiple avantaje:
- nu transpare prin gingie culoarea gri ca la implanturile clasice de titan,
- nu se elibereaza ioni metalici care pot colora gingia in timp
- odata cu retractia fiziologica a gingiei, din cauza inaintarii in varsta, implantul ceramic fiind alb, fara metal, se va vedea ca orice dinte natural!
Printre calitatile pentru care am ales sa folosim si sa recomandam acest implant dentar ceramic Straumann ca si optiune de tratament se numara:
- Este rezultatul a 12 ani de cercetare
- In prezent exista peste 80.000 de implanturi Straumann Pure Ceramic inserate cu succes
- Contine 100% ceramica zirconica, fara metal sau plastic
- Nu exista riscul de oxidare sau coroziune
- Datorita aderentei mai mici a bacteriilor se va observa si o scadere semnificativa a placii bacteriene.
- Au rata de succes de peste 98%
- Fiecare implant produs, inainte de a fi ambalat, este testat si supus la o forta mai mare decat cea mai puternica muscatura umana
- Exista mai multe variante de implant pentru dintii din fata cat si pentru dintii laterali – implant de tip monobloc (implant si bont dintr-o singura bucata) pentru dintii din fata si implant si bont din ceramica separat, insurubabil
- Tehnologia revolutionara a suprafetei implantului ceramic ZLA care ofera o osteointegrare cel putin la fel de buna ca a implanturilor de titan, in jurul careia se formeaza o micro circulatie sangvina asemanatoare dintelui natural
Exista si contraindicatii ale inserarii implantului dentar Strauman Pure Ceramic, iar acestea sunt:
- Dezvoltarea incompleta atat a mandibulei cat si a maxilarului;
- Abuzul de medicamente si alcool;
- Pacientii ce prezinta alergii la componentele materialului.
Indicatiile privind ingrijirea implantului dentar Straumann Pure Ceramic sunt asemenatoare ingrijirii unui dinte natural. Asa cum dintii naturali au nevoie de igienizare dentara si control periodic odata la 6-12 luni, la fel si implanturile dentare trebuiesc tinute sub observatie de catre medicul stomatolog. Pentru intretinerea implanturilor dentare ceramice este nevoie de aparatura si substante speciale. Acasa, este necesar un periaj corect insotit de mijloace auxiliare de curatire (ata dentara, periute interdentare, apa de gura fara alcool, folostia ocazional).
Acum, exista posibilitatea inserarii unui astfel de implant dentar ceramic si in Bucuresti!
Mai jos va este prezentat un caz rezolvat la clinica Artistic Dent de catre Dr. Sorin Gageanu, pacientul fiind chiar eu. Caz care a beneficiat de doua implanturi dentare ceramice inserate.
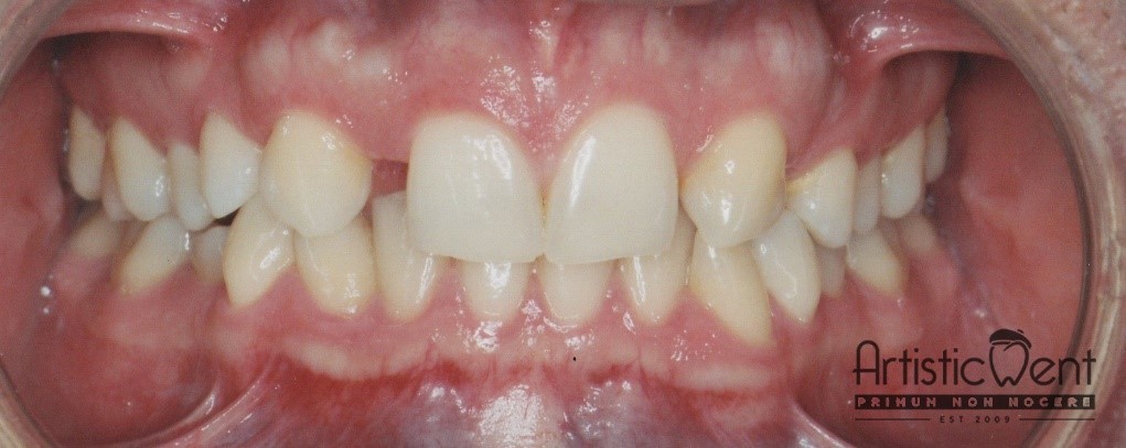
Diagnostic: anodontie (lipsa mugurelui dentar) de ambii incisivi laterali superiori cu migrarea dintilor vecini spre inchiderea spatiului existent.
(Stiati ca …? Dupa disparitia mugurilor dentari ai molarilor de minte, deoarece nu mai avem nevoie de ei pentru ca mancarea este din ce in ce mai rafinata, urmatorii care vor disparea din codul nostru genetic sunt incisivii laterali superiori. Persoanele care nu au nici molari de minte si nici incisivi laterali superiori sunt considerate a fi din punct de vedere organic in topul evolutiei).

Etapa 1: Deoarece lipsa incisivilor laterali a dus la migrarea masiva a dintilor si la dezvoltarea unei ocluzii (muscaturi) nefunctionale, primul pas a fost alinierea dintilor si crearea de spatiu pentru implanturi folosind un aparat ortodontic, aplicat atat pe dintii de sus cat si pe dintii de jos.
Etapa 2: Dupa indepartarea aparatului ortodontic de pe arcada dentara superioara s-a efectuat computer tomograf pentru a vedea dimensiunea si calitatea osului in care vor fi inserate implanturile si apoi scanarea 3D a dintilor. Cu ajutorul unui program software s-a simulat pozitia in os a implanturilor, in functie de dimensiunea osoasa si in functie de pozitia in care se vrea inserat astfel incat sa se obtina estetica maxima. Dupa simulare, cu ajutorul unei imprimante 3D, s-a creat un ghid chirurgical care, in etapa operatorie, transpune informatia din simulator in gura pacientului, implanturile fiind inserate exact in aceeasi pozitie ca in program.

Etapa 3: Inserarea implanturilor. Interventie foarte usoara si netraumatizanta datorita anestezicului de ultima generatie folosit si datorita ghidului chirurgical ce a usurat foarte mult munca medicului, scurtand semnificativ timpul interventei. Timpul de lucru total a fost de aproximativ 30 de minute. Dupa inserarea implanturilor s-au aplicat cape (capacele) de vindecare gingivala.

Etapa 4: Protezarea provizorie: in cazul meu am ales temporizarea aplicarii de dinti provizorii pe implant deoarece in unele cazuri mai complexe e nevoie de mai mult timp de vindecare a gingiei, insa la majoritatea cazurilor dintii provizorii se pot face si a doua zi.

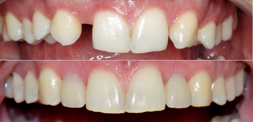
Etapa 5:Dupa ce dintii provizorii si-au indeplinit rolul de a modela gingia in jurul implantului, asa cum ne-o dorim pentru viitorii dinti definitivi, urmeaza etapa de amprentare si transferul in laboratorul de tehnica dentara unde vor fi construite coroanele integral ceramice. Dupa amprenta, pana la finalizarea de catre tehnicianul dentar a coroanelor dentare, s-au aplicat inapoi pe implanturile dentare ceramice coroanele provizorii.
Etapa 6: In aceasta etapa se vor proteza implanturile cu dintii definitivi.

Etapa 7: Monitorizarea implanturilor prin controale periodice si igienizare dentara odata la 6 luni.
Voi reveni cu poze din 5 in 5 ani.
Sper ca am reusit sa va redau increderea si curajul prin prezentarea cazului meu.

Cu stima si respect,
Dr Florin Popastate











