aparat-dentar-invizibil-870x350

D.C., aged 30, came to our clinic for orthodontic treatment, his main desire being the alignment of frontal teeth with an “invisible” technique.

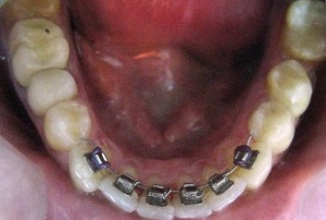
In addition to a slight cramming of frontal teeth, the patient has a 6-year molar edentation – the molar on the left lower side was lost several years before and, in the absence of an implant or creation of a bridge, the space has partially closed. At present time, that space of about 3 mm does not allow for a proper prosthetic solution.

In the top right there is a fixed 3-item, well-adapted work to which the patient does not want to give up, and therefore it was necessary that the orthodontic treatment did not act at this level in order to prevent the integrity of the bridge.

Photographs illustrating the initial situation:

The solution we agreed on was a 2-stage treatment:

  • In the first stage, we shall solve the cramming of the frontal teeth using 2 lingual devices (behind the teeth), the method called “Social Six Treatment”. This partial orthodontic device is virtually invisible from the outside, so the aesthetics of our patient’s smile is not affected at all.
  • In the second stage, an orthodontic device partially applied to the outside of the teeth, on the lower left side, will close the remaining space after the loss of the 6-year old molar and will solve the small teeth rotation at this level. For increased efficiency, we shall make recourse to a mini-implant, an auxiliary element that provides a strictly bone-shaped point of application of orthodontic forces, thus not affecting the position of frontal teeth.
  • Estimated duration of the first stage: 4-5 months
  • Estimated duration of the second stage: Approximately 6 months.

Intraoral photos at 3 months after the application of partial Social Six devices:

At this time, the patient’s smile is almost perfect:

Make an appointment now!