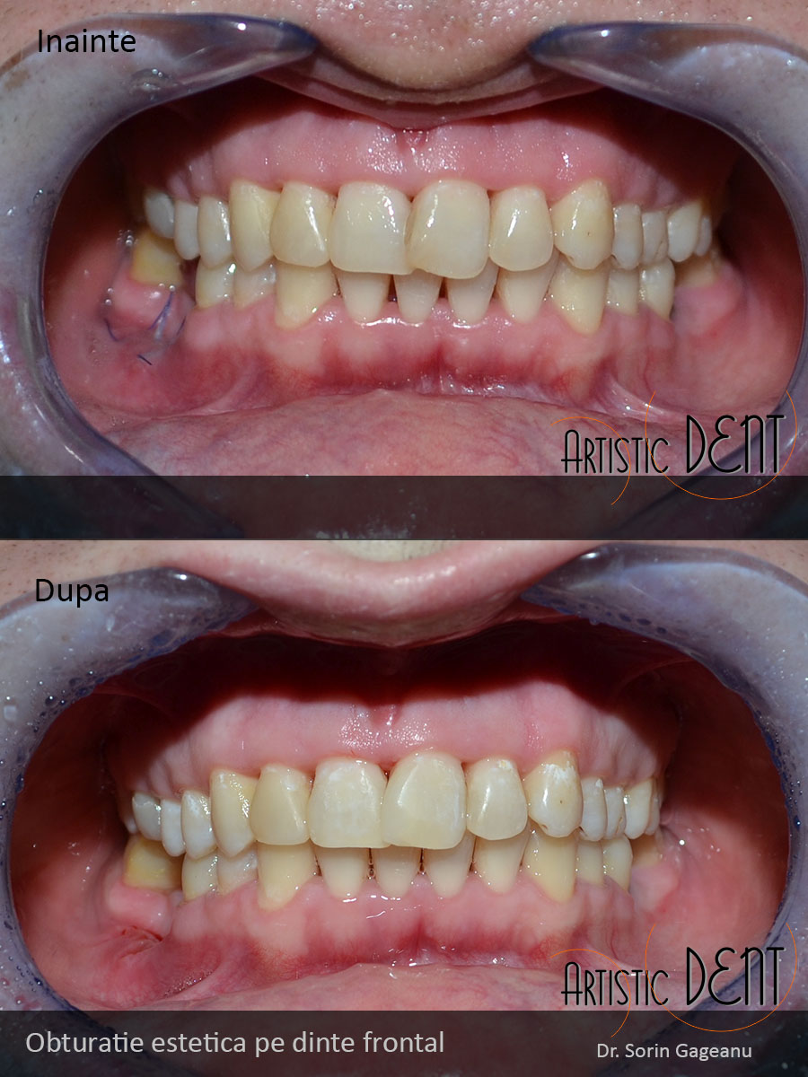
Un zambet frumos si natural inseamna o dantura in primul rand sanatoasa si apoi frumoasa. Toti ne dorim un zambet frumos!

Atunci cand zambim, dintii nostri naturali – incisivii si caninii – sunt cei mai expusi privirilor celor din jur. De aceea trebuie sa ne asiguram ca sunt frumosi, dar mai ales sanatosi. In clinica noastra pretul unei obturatii a dintilor frontali, popular spus a unei plombe pe dintii din fata, este mai ridicat in comparatie cu media pietei din Romania, insa va garantam o calitate si o estetica superioara.

Va asteptam sa va convingeti singuri!

Citeste mai mult: Obturatii dentare pe dintii frontali

poza-principala-din-pagina1
Inapoi
Programeaza-te acum!