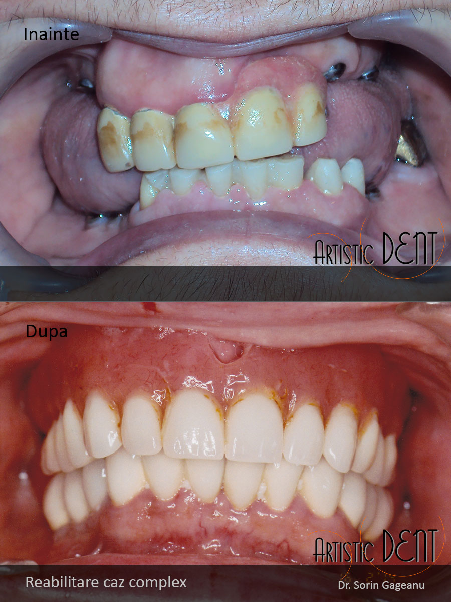
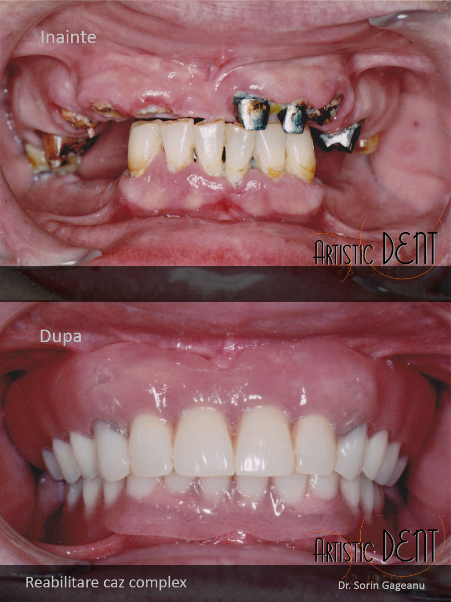
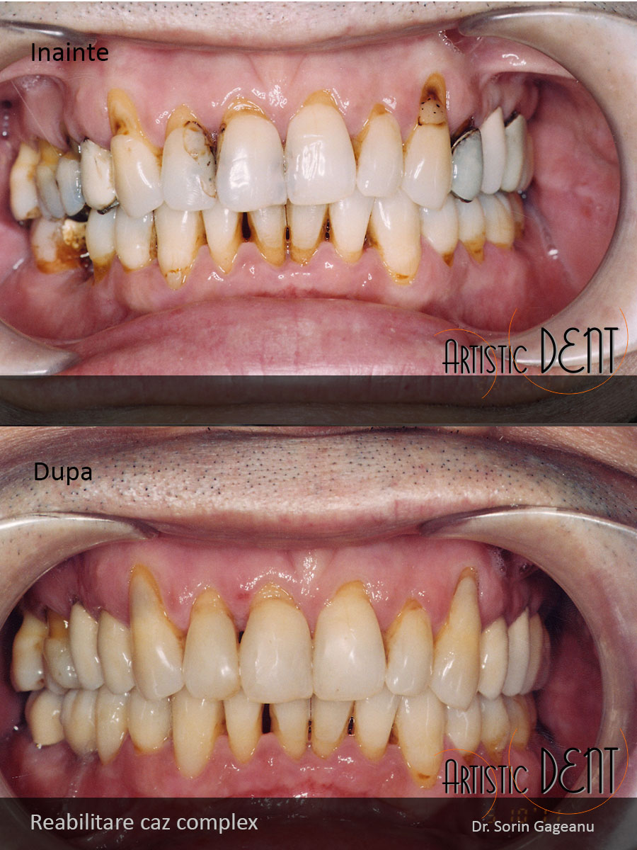
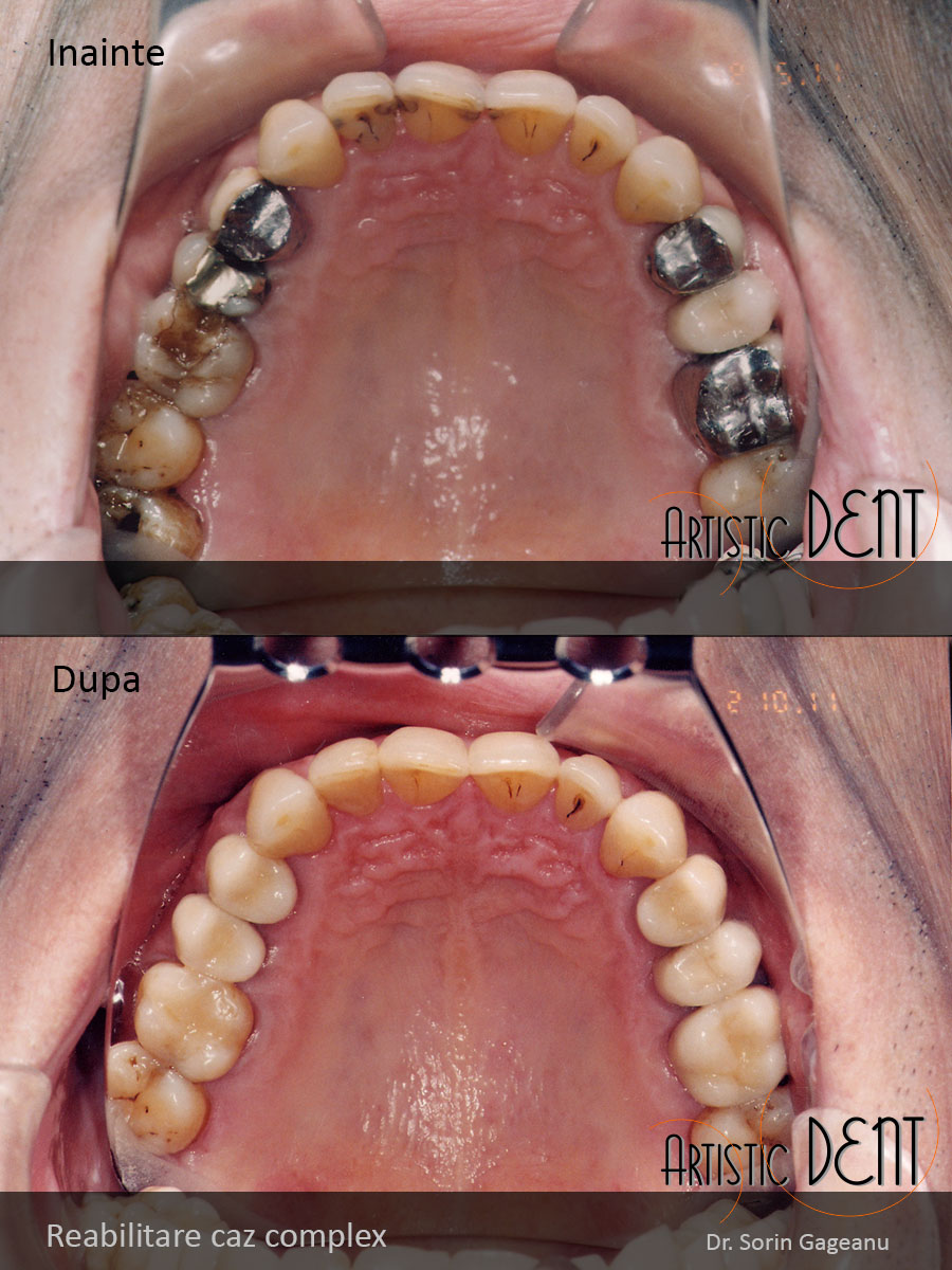
Medicii clinicii noastre se pot mandri cu o bogata cazuistica cu finalitate scondata si predictibila. Reabilitarea orala inseamna un tratament stomatologic complex bine gandit, unic si personalizat pentru fiecare pacient in parte.

Inapoi
Programeaza-te acum!